Skip to content
Home
Travel for IVF to Texas
Blog
Contact
Home
Travel for IVF to Texas
Blog
Contact
Blog
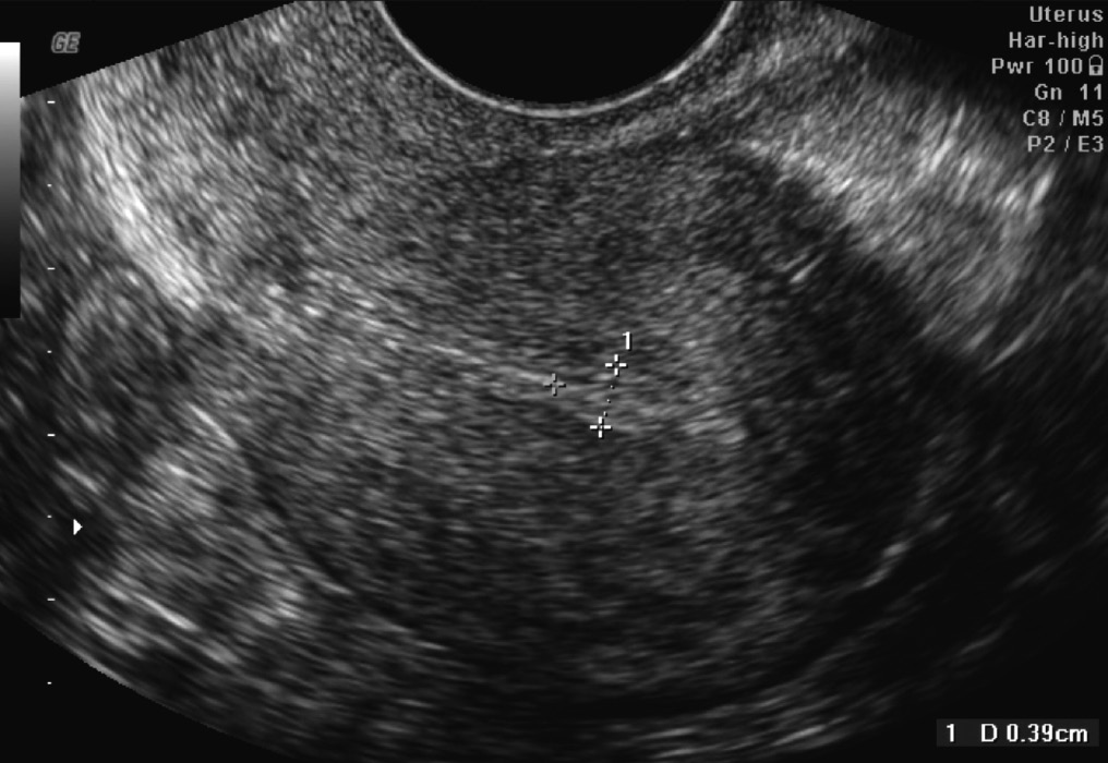
Thin Uterine Lining: What It Means for Fertility and IVF Success
IVF Success: Proven Tips for a Joyful Holiday Season
Hello world!